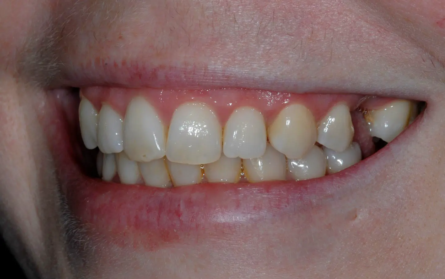
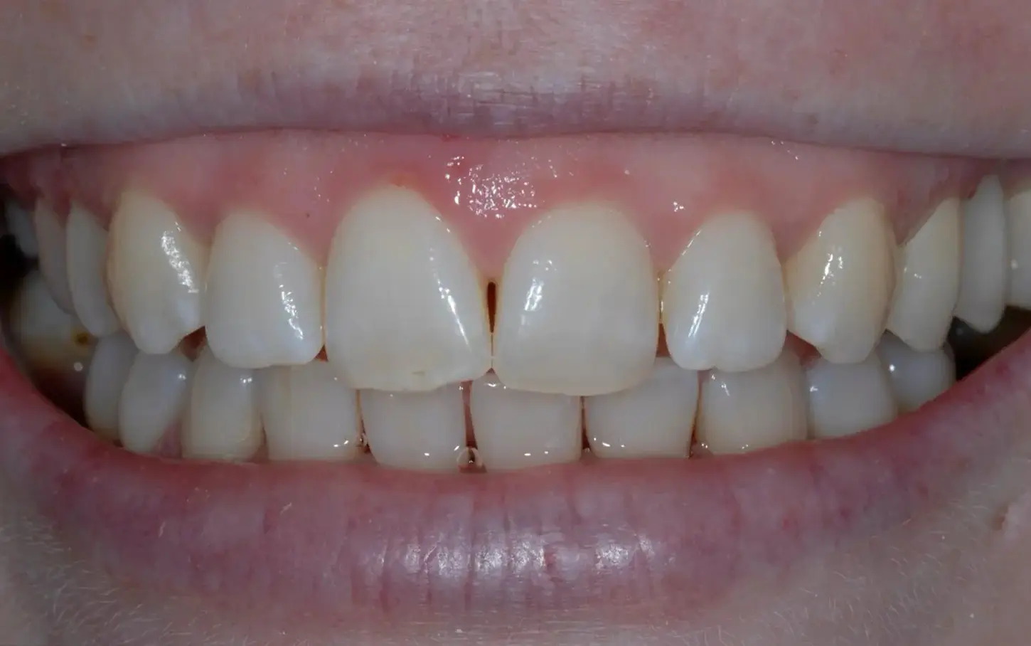
TEETH WHITENING

Dental Care for the Entire Family

Request an Appointment
YEARS IN
Business
SATISFIED PATIENT
REVIEWS
LATEST DENTAL
TECHNOLOGY

Professional Teeth Whitening In Roanoke

Are you ready to reverse years of coffee and tea stains on your teeth? Do you miss the days when your teeth were less yellow? Are you getting ready for a special occasion and want your smile to look extra stunning? If you answered yes, professional teeth whitening is the solution!

There are many methods to whitening your teeth. Numerous variations of whitening toothpaste, stronger products such as Crest Whitestrips (which consists of 10-14% hydrogen peroxide), and even more home light source whitening devices. Each of these products yields varying levels of success.

Get in Touch for Teeth Whitening in Roanoke, VA!




    Our Teeth Whitening Treatment

    At our practice, we stand by the gold standard of custom made teeth whitening trays, as opposed to the frequently used whitestrips, loaded with either hydrogen peroxide or carbamide peroxide. Prior to treatment, we will take high quality photos of your teeth and we will make custom upper and lower trays. Your dentist will select a solution, concentration, and regimen that is appropriate for you and your teeth. You will be given all that you need to do at-home professional-grade tooth whitening. After 1 to 2 weeks, we will evaluate progress. Depending on results, we will decide whether to complete the treatment or select a different whitening agent.

    There are several benefits of the at-home whitening approach. 1) you are in control of how much lighter your teeth become 2) If your teeth are prone to sensitivity, you can choose to wear the trays for shorter periods of time 3) you can easily and cheaply re-whiten your teeth with a “maintenance kit” if the whitening effects fade over time.

    Finding the Treatment that Fits Your Needs

    Almost all teeth can be whitened to a certain extent. We will evaluate your condition and advise you. If you have always wanted brighter teeth and a more confident smile, whitening may be for you. Ask us today and you can have your custom bleaching trays in one to two days.

    Some patients have deeply stained teeth related to medications taken as a child (such as tetracycline). Even custom whitening trays may not be enough to whiten the teeth. For these severe cases, we offer KOR Whitening systems Ultra-T whitening treatment. This specific regimen includes in office conditioning, at home overnight whitening, and in office whitening components. The regimen was designed to achieve whitening even for deeply stained teeth.  If you’re asking the question: is there teeth whitening near me? You’ve come to the right place. Ask us about our teeth whitening process!

    In-Office Whitening Procedure

    Our in-office whitening procedure utilizes high-concentration bleaching agents applied under professional supervision. This method ensures immediate and noticeable results, often lightening teeth by several shades in a single 30- to 60-minute session.

    At-Home Whitening Procedure

    For those who prefer the convenience of whitening at home, we provide custom-made trays paired with professional-grade whitening gel. This approach allows you to achieve gradual, natural-looking results over a period of one to two weeks, with the flexibility to control the degree of whitening.

    Treatment Duration

    The duration of your whitening treatment depends on the chosen method and your desired results. In-office treatments offer immediate outcomes, while at-home options typically require consistent application over one to two weeks.

    Cost of Teeth Whitening

    Numerous things can influence the price of dental whitening, such as the selected technique, the current state of the patient’s teeth, and the intensity of whitening needed. Our at-home whitening solutions primarily involve the creation of personalized trays tailored for our clients. The price range for our complete whitening packages spans between $90 and $1200 depending on the services needed. It is important to note that teeth whitening is generally deemed a cosmetic treatment, and as a result, it is typically not covered by the majority of dental insurance policies.

    Benefits, Side Effects and Health Risks of Teeth Whitening

    One of the greatest benefits of teeth whitening is that it improves the overall look of your teeth.  The process removes stains and discoloration from the tooth surface, resulting in a bright smile. Side effects of teeth whitening procedures, especially when overused or improperly applied, can include tooth sensitivity and gum irritation, with some individuals experiencing temporary discomfort or pain following treatment.  Thankfully, most of these issues arise from over-the-counter products. The teeth whitening products that we offer have enamel safe chemicals and we give you clear and concise directions for home treatments that will reduce any sort of side effect.

     

    With our professional teeth whitening, you can benefit from:

    • Enhanced Appearance: Achieve a brighter, more attractive smile.
    • Immediate Results: In-office treatments provide rapid whitening, often within a single visit.
    • Professional Supervision: Ensures safe application and minimizes potential side effects.

    Common side effects may include temporary tooth sensitivity and gum irritation, which typically subside shortly after treatment. Our team takes precautions to minimize these risks and ensure your comfort throughout the process.

    Long-Lasting Results with Irby Dentistry

    The duration of your teeth’s whiteness after a whitening treatment can vary widely depending on several factors. In general, the whiteness you get from professional teeth whitening  treatments, such as the Kor Treatment Protocol, can last anywhere from six months to two years with usage of the trays 1 to 2 times a month. Some people may require touch-up treatments to maintain their desired shade of whiteness and whiteness can be reduced based on the usage of products like cigarettes, coffee or tea. To ensure the best outcome, it’s important to follow our post-whitening care instructions and have regular dental check-ups and cleanings. Next time you’re in for a service, chat with our hygienists about our teeth whitening services and how we can help you attain your brightest smile!

    FAQs About Teeth Whitening in Roanoke, VA

    What is the most effective way to whiten teeth?

    For the best teeth whitening, we recommend getting your services professionally done at the dentist’s office, where expert care ensures safe, effective, and long-lasting results.

    How often can I whiten my teeth?

    We recommend getting your teeth whitening done every 6-12 months, but this can vary based on the procedure you choose and the state of your smile. 

    Can yellow teeth become white again?

    Yes! Yellow teeth can always become white again, and at Irby Dentistry we have the expertise to know what procedure and products will work best to revive your smile.

    Do teeth whiteners actually work?

    Yes! teeth whiteners do work, especially when they contain bleaching agents like hydrogen peroxide or carbamide peroxide, which can lighten the color of the teeth. 

    Does baking soda whiten teeth?

    Baking soda can remove some surface stains and make teeth appear whiter, but it’s not a substitute for teeth whitening treatments since it only affects the surface stain of the tooth.

    Does teeth whitening hurt?

    Some individuals may experience temporary tooth sensitivity or gum irritation during or after whitening, but these effects are usually mild and short-lived.

    How long does an in-office whitening session take?

    An in-office whitening session typically lasts between 30 to 60 minutes.

    What’s the difference between in-office and at-home whitening?

    In-office whitening offers immediate results under professional supervision, while at-home whitening provides gradual results using custom trays over a period of time.

    How much does teeth whitening cost in Virginia?

    The cost varies depending on the provider and treatment method. At Irby Dentistry, our whitening packages range from $90 to $1,200. Contact us today to book an appointment. 

    Is it worth getting your teeth professionally whitened?

    Yes, professional whitening ensures safe application and more effective results compared to over-the-counter options.

    How much is teeth whitening at the dentist with insurance?

    Teeth whitening is typically considered a cosmetic procedure and is not covered by most dental insurance plans.

    5 Star Patient Reviews About Our Roanoke Teeth Whitening

    Kelvin Edwards
    Kelvin Edwards
    2023-03-01
    Absolutely 💯 awesome care me.
    Matthew Clements
    Matthew Clements
    2023-03-01
    I enjoy this place, five stars, I do wish they had a service where I could get texted every morning and night to brush my teeth; that would be swell.
    Patricia Lingo
    Patricia Lingo
    2023-01-26
    Got tooth pull no pain at all. Very friendly and thoughtful!!!!
    David Shepherd
    David Shepherd
    2023-01-24
    They have been the best dentist office I've ever dealt with they have amazing staff witch treated me very well I highly recommend them
    Anne-Marie Blankenship
    Anne-Marie Blankenship
    2023-01-24
    Irby dentistry was awesome! They were really quick with getting back to me about an emergency extraction and it didn't hurt that dr Irby was real easy on the eyes lol! Great place! My kids had to come with me and they let them dig in the toy box for a distraction so that was cool too!
    doug reed
    doug reed
    2023-01-16
    Professional, personable, and prompt .
    Julie Macpherson
    Julie Macpherson
    2023-01-16
    My implant was done by doctor Irby. It was painless and a great experience! I highly recommend him for your dental needs.
    Keith Owensby
    Keith Owensby
    2023-01-16
    Friendly staff, excellent dental care.
    Lee Rotundo
    Lee Rotundo
    2022-11-01
    High quality dental care, excellent clinic, very professional and well organized. They also provide emergency dental care. I am grateful to have discovered this practice and I highly recommend their work and service.